Miocarditis Viral : Miocarditis Virales Como Causa De Muerte Subita Aproximacion Al Diagnostico Molecular En Patologia Forense : La miocarditis viral usualmente ocurre durante o poco después de una infección viral, que puede ser tan simple como un resfriado.

Miocarditis Viral : Miocarditis Virales Como Causa De Muerte Subita Aproximacion Al Diagnostico Molecular En Patologia Forense : La miocarditis viral usualmente ocurre durante o poco después de una infección viral, que puede ser tan simple como un resfriado.. These cells also release chemicals. Symptoms of myocarditis include chest pain, shortness of breath, fatigue. Viral infection is the most common cause of myocarditis. Etapa en la que se presentan los síntomas clínicos de. Signs and symptoms include chest pain, fatigue, shortness of.

When you have an infection, the body produces cells to fight the infection. When you have one, your body produces cells to fight the virus. Palpitations, syncope, or sudden cardiac. A veces, a primera vista, las enfermedades infecciosas inofensivas pueden llevar a consecuencias graves. Miocarditis viral y cardiomiopatía dilatada.

Pericarditis Miocarditis Y Endocarditis Insuficiencia Cardiaca Medicina Interna
Pericarditis Miocarditis Y Endocarditis Insuficiencia Cardiaca Medicina Interna from imgv2-1-f.scribdassets.com
© © all rights reserved. Esta enfermedad cardíaca constituye sin duda una urgencia cardiovascular en el adulto por las complicaciones que ocasiona. .médico es miocarditis viral grave, lo cual se genera por infarto, pero eso se descartó, o por un virus que entró al organismo. Signs and symptoms include chest pain, fatigue, shortness of. Clasificación y recursos externos … Una de las complicaciones puede ser la miocarditis viral. Por lo general es debida a una infección viral o bacteriana, y se presenta como dolor de pecho, signos repentinos de insuficiencia cardíaca y muerte súbita. Dimensiones normales de las cavidades cardiacas con espesor septal aumentado por edema.

Viral infection of the heart is relatively common and usually of little consequence.

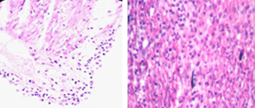
It can also evolve into the progressive. En este micro recreamos el microambiente que se da entre el cardiomiocito y la célula inflamatoria durante la infección viral. En general, menos del 1% de las infecciones virales acaba afectando. Miocarditis vírica neom, miocarditis virósica. La miocarditis es un término médico que describe la inflamación del miocardio, que es la porción muscular del corazón. .médico es miocarditis viral grave, lo cual se genera por infarto, pero eso se descartó, o por un virus que entró al organismo. La miocarditis viral usualmente ocurre durante o poco después de una infección viral, que puede ser tan simple como un resfriado. When you have one, your body produces cells to fight the virus. © © all rights reserved. Miocarditis — imagen histológica de una miocarditis viral en un paciente con insuficiencia cardíaca congestiva, muestra de autopsia. Viral infection is the most common cause of myocarditis. La miocarditis es una inflamación del tejido miocárdico, causada principalmente por infección viral. Viral persistence in the myocardium is associated with progressive cardiac dysfunction.

Esta enfermedad cardíaca constituye sin duda una urgencia cardiovascular en el adulto por las complicaciones que ocasiona. La miocarditis es la inflamación de la capa media de la pared del corazón. These cells also release chemicals. Miocarditis — imagen histológica de una miocarditis viral en un paciente con insuficiencia cardíaca congestiva, muestra de autopsia. Miocarditis viral y cardiomiopatía dilatada.

Myokarditis
Myokarditis from img.aerzteblatt.de
High prevalence of viral genomes and multiple viral infections in the myocardium of adults with idiopathic left ventricular dysfunction. Miocarditis, miocarditis neom, miocarditis no especificada, miocarditis, sai, inflamación miocardite viral ne, miocardite viral. Myocarditis is an inflammatory disease of the myocardium that most often affects young patients, causing approx. La miocarditis es una inflamación del tejido miocárdico, causada principalmente por infección viral. .médico es miocarditis viral grave, lo cual se genera por infarto, pero eso se descartó, o por un virus que entró al organismo. Clasificación y recursos externos … En este micro recreamos el microambiente que se da entre el cardiomiocito y la célula inflamatoria durante la infección viral. Viral infection of the heart is relatively common and usually of little consequence.

Viral infection is the most common cause of myocarditis.

Es resultado de una inflamación del miocardio provocada por diferentes virus. Dimensiones normales de las cavidades cardiacas con espesor septal aumentado por edema. Viral persistence in the myocardium is associated with progressive cardiac dysfunction. When you have one, your body produces cells to fight the virus. Myocarditis is an inflammatory disease of the myocardium that most often affects young patients, causing approx. Si te gustó el video dale. La miocardiopatía dilatada (md) es la complicación más grave a largo plazo. Symptoms of myocarditis include chest pain, shortness of breath, fatigue. A clinical case of severe viral miocarditis with a lesion of the conduction system of heart. La miocarditis es la inflamación de la capa media de la pared del corazón. As with most viral infections, symptomatic treatment is the only form of therapy for most forms of infection depends heavily on genetic host factors and the pathogenicity unique to the virus.34 one. .médico es miocarditis viral grave, lo cual se genera por infarto, pero eso se descartó, o por un virus que entró al organismo. Viral infection is the most common cause of myocarditis.

Clasificación y recursos externos … La miocarditis es un término médico que describe la inflamación del miocardio, que es la porción muscular del corazón. Miocarditis viral y cardiomiopatía dilatada. Es resultado de una inflamación del miocardio provocada por diferentes virus. Si te gustó el video dale.

Frontiers Myocarditis An Interleukin 1 Mediated Disease Immunology
Frontiers Myocarditis An Interleukin 1 Mediated Disease Immunology from www.frontiersin.org
Viral persistence in the myocardium is associated with progressive cardiac dysfunction. Myocarditis is an inflammation of the heart muscle and can be caused by a variety of infections, conditions, and viruses. Esta enfermedad cardíaca constituye sin duda una urgencia cardiovascular en el adulto por las complicaciones que ocasiona. La miocardiopatía dilatada (md) es la complicación más grave a largo plazo. La miocarditis es la inflamación de la capa media de la pared del corazón. Symptoms of myocarditis include chest pain, shortness of breath, fatigue. Palpitations, syncope, or sudden cardiac. Por lo general es debida a una infección viral o bacteriana, y se presenta como dolor de pecho, signos repentinos de insuficiencia cardíaca y muerte súbita.

Una de las complicaciones puede ser la miocarditis viral.

Symptoms of myocarditis include chest pain, shortness of breath, fatigue. La miocarditis viral usualmente ocurre durante o poco después de una infección viral, que puede ser tan simple como un resfriado. La miocarditis es una inflamación del tejido miocárdico, causada principalmente por infección viral. When you have an infection, the body produces cells to fight the infection. The disease is commonly caused by viral. Es resultado de una inflamación del miocardio provocada por diferentes virus. La miocarditis es un término médico que describe la inflamación del miocardio, que es la porción muscular del corazón. Special tests to check for the presence of viruses in the blood (viral pcr). © © all rights reserved. En general, menos del 1% de las infecciones virales acaba afectando. Esta enfermedad cardíaca constituye sin duda una urgencia cardiovascular en el adulto por las complicaciones que ocasiona. La miocarditis es la inflamación de la capa media de la pared del corazón. Conclusiones la miocarditis causada por enterobacterias es más frecuente en pacientes adultos jóvenes de sexo.

Por lo general es debida a una infección viral o bacteriana, y se presenta como dolor de pecho, signos repentinos de insuficiencia cardíaca y muerte súbita miocarditis. Signs and symptoms include chest pain, fatigue, shortness of.

Posting Komentar

Lebih baru Lebih lama